
Interim results from an observational trial of patients with myelofibrosis indicate upward trends in health-related quality of life when started on the highest tolerable dose of ruxolitinib.

Interim results from an observational trial of patients with myelofibrosis indicate upward trends in health-related quality of life when started on the highest tolerable dose of ruxolitinib.

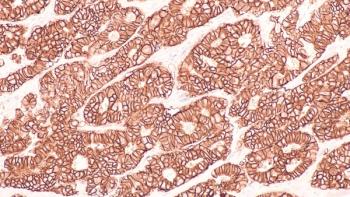
Patients with chronic lymphocytic leukemia (CLL) show weakened T-cell memory responses to COVID-19 vaccination.

Using Janus kinase inhibitors, having experienced a previous thrombosis episode, and higher age were associated with a heightened risk of a new thromboembolic event.

The findings provide a deeper understanding of the mechanisms underlying breast cancer progression and treatment resistance.

Adding daratumumab improved minimal residual disease (MRD) negativity rates, leading to superior progression-free survival (PFS).

Will traditional PBMs adapt, or will disruptors take over?

Patients achieved statistically significant benefits in progression-free survival and overall response rates.

The hepatitis B core-related antigen (HBcrAg) rapid diagnostic test was more timely and showed a stronger sensitivity and specificity compared with other testing methods.

Older age and being insured with Medicare or Medicaid were associated with heightened annual joint bleeding rates, whereas treatment in the Northeast United States improved outcomes in both hemophilia A and hemophilia B.

If approved, this novel monoclonal antibody therapy could become a standard of care emergency option for patients with acute myocardial infarction, which affects millions in the United States and across the world.

Pharmacists can promote prevention through the implementation of antimicrobial stewardship initiatives and advocate for fecal microbiota transplant.

This new podcast will explore the latest evidence, practices, and innovations in the world of cardiovascular care from a pharmacist's point of view.

Evidence-based guidelines support the safe and effective administration of Ig therapy in clinical practice.

National Adverse Drug Event Awareness Day was established to promote awareness, drive policy changes, and encourage health care professionals and patients to prioritize medication safety.

Pharmacists can help patients with diabetes save money.

Specialty distribution models, including limited drug distribution systems, ensure safe medication access but can create barriers for patients, making medically integrated pharmacies essential in coordinating care.

Jeff A. Goad, PharmD, MPH, discusses the latest RSV vaccination guidelines and recommendations for 2025, highlighting vaccine options, target populations, timing considerations, evolving CDC policies, and the role of pharmacists in immunization efforts.

In a debate at the 2025 APhA Annual Meeting, speakers highlighted GLP-1s’ advantages in stroke prevention and weight loss vs SGLT2s’ superiority in heart failure, CV death reduction, and renal protection.

Pharmacists can empower patient RSV vaccination through strategic communication and personalized care.

Two pharmacists at the 2025 APhA Annual Meeting debate the role of continuous glucose monitoring (CGM) for non-insulin users, highlighting evolving guidelines, emerging clinical evidence, cost and coverage challenges, and the need for further research to justify widespread adoption.

Contraceptive options have expanded since 1960, with pharmacists today playing a growing role as prescribers of contraception and studies showing the benefit of pharmacist-driven contraception clinics.

Sally Arif, PharmD, BCCP, discusses her presentation on the critical role of pharmacists in addressing health disparities by improving communication, fostering cultural competence, and promoting pharmacoequity.

Nakia Eldridge, PharmD, MBA, shares insights for health system and community pharmacists attending the 2025 APhA Annual Meeting & Exposition.

Patients with central nervous system (CNS) involvement achieved favorable outcomes with chimeric antigen receptor (CAR) T-cell therapy.

Non-high-density lipoprotein cholesterol was found to be more effective at predicting cardiovascular events such as stroke, myocardial outcomes, heart failure, and others compared with low-density lipoprotein cholesterol.

Sjögren's disease is one of the most common chronic autoimmune diseases that affects 4 million individuals around the world.

This subset of heart failure requires unique therapeutic considerations.

Vutrisiran becomes the first and only therapeutic FDA-approved to treat cardiomyopathy of wild-type or hereditary transthyretin-mediated amyloidosis (ATTR-CM) in adults.

The agent is the only approved therapy designed to address the underlying mechanisms of the disease.

Health care professionals in the study found it challenging to manage the complexities of disordered eating in patients with type 1 diabetes alongside their other responsibilities.