
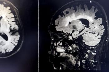
The study may serve as a foundation for future investigation regarding dietary recommendations to support the treatment of Alzheimer disease.

Gillian McGovern is an associate editor at Pharmacy Times®. She graduated from Rowan University in 2023 with a BA in Writing Arts and concentrations in Publishing & Writing for the Public, Technical & Professional Writing, and Creative Writing.

The study may serve as a foundation for future investigation regarding dietary recommendations to support the treatment of Alzheimer disease.

The autologous, fully human CD19 chimeric antigen receptor T-cell product, KYV-101, is being studied for the treatment of patients with progressive myasthenia gravis.

Pharmacists played a crucial role in providing asthma action plans and enhancing patient education, despite challenges, and study limitations.

A number of asthma-related emergency room visits are a result of viruses, but certain airborne pollens—notably Cupressaceae and tree pollens—are also contributors.

A clinical pharmacy specialist and specialty pharmacy manager from Allegheny Health Network urge patients to use their pharmacist in the treatment management of arthritis.

Investigators will examine the combination with pembrolizumab and lenvatinib in patients with HER2-expressing endometrial cancer.

Tirzepatide demonstrates statistically significant improvements in adult patients who have heart failure with preserved ejection fraction and obesity.

The indication is for the reduction of proteinuria in adult patients who have primary immunoglobulin A nephropathy and are at risk of disease progression.

Pharmacists can personalize supportive care, educate patients and their caregivers, advocate for patients, and collaborate with other health care workers.

This breakthrough can be significant in the development for a vaccine and other preventative measures to protect individuals from leishmaniasis.

This marks the first FDA-approved systemic therapy for patients with grade 2 astrocytoma or oligodendroglioma with a susceptible isocitrate dehydrogenase-1 (IHD1) or IDH2 mutation.

Improvements were observed in both the intervention and control group, with those who had self-reported learning difficulties showing the least improvement.

Small adjustments in human pluripotent stem cell cultures and the molecule concentration patterns in the initial 5 days of differentiation are essential to “rescue” the lines.

In addition to a rapid deterioration, psychosis in Alzheimer disease can also lead to poorer quality of life, damaged patient-caregiver relationships, and increased isolation.

Edward B. Lee, MD, PhD, also describes how understanding Alzheimer disease requires the integration of multiple fields including genetics, pathology, epidemiology, pharmacology, and physiology.

Study results demonstrated that lecanemab provided sustained benefits over 36 months, such as improved biomarker profiles and slowed cognitive decline compared with placebo.

The CDC says that even if travel is less than 2 weeks away, unvaccinated individuals should still receive a dose of the measles, mumps, and rubella vaccine for protection against the disease.

The diagnostic tool can aid the identification of patients with synovial sarcoma who may be eligible for treatment with newly approved afamitresgene autoleucel.

Tara Spires-Jones, DPhil, FMedSci, discusses how oligomeric tau clumps inside brain synapses, pointing to indirect evidence that it may be progressing through the brain by jumping between connections.

The co-founder, chief science officer, and chairman at Longeveron discusses the findings from the phase 2a trial CLEARMIND, as well as next steps to developing the therapy Lomecel-B.

Joshua Hare describes how Lomecel-B addresses neuroinflammation, unlike other treatments which typically target amyloid disposition.

The study also found that there were no associations with increased dementia risk when anxiety resolved.

Compared with placebo, tezepelumab reduced the annual asthma exacerbation rate in multiple subpopulations and asthma-related comorbidities.

An extension of a long-acting cabotegravir study shows safety prior to and during pregnancy in cisgender women, with full results being presented at the 2024 International AIDS Conference.

The molecule can be a potential treatment that counters effects of early-life antibiotics, which can impact the gut microbiota and increase the risk of childhood atopy and asthma.

Despite the century-long period of virus evolution, 6 of the 11 primates that received a cytomegalovirus-expressed flu vaccine survived the exposure to H5N1 flu.

Studies show an increased prevalence of autism spectrum disorder in children of mothers; mouse models have shown links between maternal asthma and altered behavior and brain function.

Following President Joe Biden’s decision to step down from re-election, VP Kamala Harris has stepped into the Democratic nominee position after support and endorsements from notable delegates and the president himself.

The findings also demonstrate that body dysmorphic disorder is also associated with high levels of comorbid psychopathology, risk, and psychosocial impairment.

Study investigators surveyed nearly 200 women on their concern around period-tracking apps’ data practices, as well as whether Roe v Wade being overturned influenced their concerns.