
In a session at the 2024 World Conference on Lung Cancer, presenters highlight the most significant developments in local therapy for metastatic non–small cell lung cancer and advanced disease.

In a session at the 2024 World Conference on Lung Cancer, presenters highlight the most significant developments in local therapy for metastatic non–small cell lung cancer and advanced disease.

An overview of the latest developments in targeting DLL3 in lung neuroendocrine tumors were presented at the 2024 World Conference on Lung Cancer.

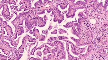
Highlights from multiple trials investigating novel treatments for mNSCLC were presented at 2024 World Conference on Lung Cancer.



The company also submitted data from the ongoing phase 2 study, demonstrating the improvements of the investigational drug for symptoms of overall disease severity.

The investigators of the phase 3b trial (NCT04838444) will continue to follow up with patients for up to 10 years.

FCS is a severe, rare genetic disease in which patients have extremely high triglyceride levels, typically above 880 mg/dL.

The DEA will have a hearing in December 2024 regarding the potential reclassification of cannabis to Schedule III, which could significantly impact the regulatory environment for pharmacies and their involvement in the cannabis market.

NS-050/NCNP-03 is being developed to aid individuals with confirmed gene mutations that are treatable with exon 50 skipping therapy.

This year the world’s first stem cell register celebrates its 50th anniversary.

Tocilizumab reduced relapses in 4 patients with myelin oligodendrocyte glycoprotein antibody-associated disease (MOGAD).

Gwen Nichols, MD, discusses challenges associated with the limited access to CAR T therapy and the need to expand outpatient and community care for patients.

To help with treatment response and compliance as well as optimize treatment, communication between patients and health care providers is necessary.

Mark Fendrick, MD, speaks about the importance of improving financial toxicity for patients while optimizing their outcomes.

When IVIG was administered within 48 hours of hospital admission, hospital and ICU length of stay were dramatically shortened.

Nick Ferreyros discusses the state and federal regulations impacting payment reform.

The FDA assigned a Prescription Drug User Fee Action date is January 31, 2025.

Presentations highlighted the potential of tarlatamab in treating solid tumor cancers.

Breanne Peyton-Thomas, PharmD, BCOP, discusses her work as a pharmacist at Ochsner Health on the CAR T-cell therapy team.

Pharmacy students develop concept for exam augmented reality glasses for clinical situations and patient counsling.

Complex projects require the engagement of multiple stakeholders.

Blaming community pharmacies and community pharmacists for a lack of expedited practice evolution is naive at best, and disingenuous or outright malicious at worst.

Lalan Wilfong, MD, discusses the road to value-based care and payment reform in cancer care.

Despite the new human case, which is not known to be related to animal exposure, the CDC emphasizes that risk to the general public remains low.

Datopotamab deruxtecan was effective in patients with TROP2-QCS biomarker-positive tumors for non–small cell lung cancer

Presenter Krish Patel, MD, discusses the use of epcoritamab (Epkinly; AbbVie) and glofitamab (Columvi; Genentech) in aggressive B-cell lymphomas as monotherapies and in combination regimens.

Lazertinib with amivantamab was found to be similar in efficacy to osimertinib in the MARIPOSA study.

Experts debate over the most effective treatment pathway for Richter transformation, highlighting the risks and benefits of different cellular therapies.

MJH Life Sciences is celebrating its 25th anniversary.