
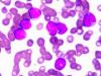
Promising study may lead to targeted treatment for patients with ALL.
Zidovudine can decrease HIV transmission by 70% in non-breastfed babies.
Pluripotent stem cells may lead to potential cure for hemophilia A.
Women are more likely to contract HIV from infected men.
Out-of-pocket costs can lead to the reduced use of preventive services and increased use of preventive medications.
Researchers seek to develop drugs that are less toxic and achieve longer remissions in multiple myeloma patients.
Efficacy of Truvada varies by gender in HIV treatment.
Study examines impact of text message reminders to improve drug adherence.
New treatment approach offers less severe side effects from chemotherapy.
A median of 2 infusions were required to treat major bleeds without any thrombotic events or severe allergic reactions.
Diet-driven etiology in hypertension includes vitamin deficiencies, high salt and alcohol consumption, and low fruit, vegetable, dairy, and oily fish consumption.
Study examines how pharmaceutical companies use social media to market products and interact with the public.
Illegal ads and unmoderated drug reviews potentially mislead social media users.
The demand curve for a treatment supports stronger revenue from a drug than a vaccine.
Study finds incidence of post-traumatic stress symptoms in breast cancer patients to be underestimated.
Cell-based therapy shows promise in high-grade glioma.
The annual rate of 50,000 new HIV infections has not dropped in over a decade.
Significant differences found in the occurrence and type of comorbidity in male and female patients with MS.
Study finds Medicaid health plans need to use a variety of formulary administration techniques and utilization management to limit prescription drug spending.
Specialty drugs comprised 36.5% of the total Medicaid 2015 drug spend.
Some generic brand drugs will continue to dramatically rise, making management through strategic tier placement crucial for continued success.
Medicare Part D Program saved beneficiaries more than $7 billion on medication.
National Association of Specialty Pharmacy (NASP) Executive Director James E. Smeeding, RPh, MBA, discusses the cost burden of long term care compared with the high cost of short term treatment with specialty drugs.
Gene overexpressed in AML may offer new target for halting the spread of cancer.
Hops in beer contain antibacterial and anti-fungal properties, which could halt the growth of diseases.
Pharmacy owner charged with paying patients hundreds of dollars in cash in exchange for not receiving their prescription medications.
Alcohol can affect estrogen in breast cancer cells and weakens the ability of drugs that halt proliferation.
Top stories of the week from The American Journal of Pharmacy Benefits.
Etanercept shows sustained efficacy treating the symptoms of 3 juvenile idiopathic arthritis categories.
Recent advances and updates in oncology and cancer drug development.